เคยสงสัยกันหรือไม่คะ? การอุดฟันแต่ละซี่ซึ่งมีรอยผุมากน้อยแตกต่างกันนั้น โดยทั่วไปแล้วคุณหมอจะมีวิธีการประเมินราคาอุดฟันอย่างไร
การคิดราคาอุดฟัน โดยทั่วไปจะใช้การนับตามจำนวนด้านของฟันที่ผุทั้งหมด 5 ด้าน หากในฟันซี่หนึ่งมีรอยผุต่อเนื่องหลายด้าน ค่าใช้จ่ายในการอุดฟันซี่นั้นก็จะมากขึ้นตามไปด้วยค่ะ

ทั้งนี้ ในการอุดฟันบางกรณีที่ยากเป็นพิเศษ เช่น รอยผุมีขนาดใหญ่มาก หรือ รอยผุอยู่ในระดับต่ำกว่าขอบเหงือก อาจมีราคาสูงกว่าการประเมินข้างต้น เนื่องจากจำเป็นต้องใช้วัสดุและอุปกรณ์เพิ่มเติมตามความเหมาะสมเพื่อให้ได้ผลลัพธ์ที่ดีและมีความคงทนเพียงพอค่ะ
อุดฟันราคาเท่าไร?
| รายการ |
ราคา |
| อุดฟันด้วยอมัลกัม | ด้านแรก 700-800 ด้านต่อไป 400-500 |
| อุดฟันด้วยคอมโพสิต | ด้านแรก 800-900 ด้านต่อไป 400-500 |
| อุดฟันด้วยกลาสไอโอโนเมอร์ | ด้านแรก 800-900 ด้านต่อไป 400-500 |
| อุดปิดช่องว่างระหว่างฟัน | ช่องละ (1-2 ซี่) 2,000-3,500 |
| (อุดฟันกรณียากโดยทันตแพทย์เฉพาะทางทันตกรรมหัตถการ มีค่าใช้จ่ายเพิ่มตามจำเป็น) | |

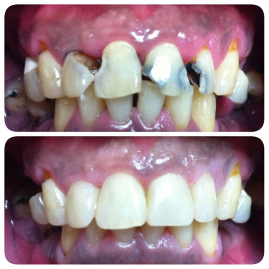
การอุดฟัน เป็นการบูรณะฟันที่เสียหายจากฟันผุ ด้วยวิธีการกรอกำจัดเนื้อฟันส่วนที่ผุออกแล้วเติมวัสดุอุดฟันลงไปแทนที่เพื่อฟื้นฟูให้กลับมามีรูปร่างและการใช้งานใกล้เคียงหรือเป็นปกติ การอุดฟันนอกจากจะใช้แก้ปัญหาฟันผุแล้ว ยังสามารถใช้บูรณะฟันที่แตกบิ่นได้อีกด้วย
การอุดฟันมีราคาไม่สูง แต่ก็มีข้อจำกัดอยู่บ้าง
- การอุดฟันมีอายุการใช้งานที่คาดหวังประมาณ 5 ปีขึ้นไป โดยหลังจากอุดฟันไปแล้วเป็นเวลานานหลายๆปี วัสดุอาจสึกกร่อนลงได้บ้างตามการใช้งาน
- หากทำความสะอาดไม่เหมาะสม อาจเกิดฟันผุในตำแหน่งเดิมได้ โดยเฉพาะบริเวณรอยต่อของวัสดุอุดฟันกับฟันธรรมชาติ ในกรณีที่ขัดแต่งขอบของวัสดุอุดฟันไม่เรียบ หรือขอบวัสดุสึกกร่อน แตกบิ่น ทำให้เศษอาหารและคราบพลัคติดสะสมอยู่ได้ง่าย
- ในการอุดฟันกรามที่รอยผุมีขนาดใหญ่ การใช้งานควรจะระมัดระวังการกัดเคี้ยวอาหารแข็ง เหนียว เนื่องจากวัสดุอาจแตกหักได้ กรณีที่รอยผุใหญ่เกินกว่าจะอุดให้แข็งแรงพอสมควรได้ทันตแพทย์จะแนะนำให้บูรณะด้วยการครอบฟัน หรือทำอินเลย์ ออนเลย์ ซึ่งมีราคาสูงกว่าแต่ใช้งานได้ดีกว่า
- ในฟันหน้าโดยเฉพาะการอุดตำแหน่งปลายฟันที่แตกหรือบิ่น บางครั้งวัสดุอุดฟันมักจะยึดเกาะได้ไม่แข็งแรงมากพอที่จะใช้กัดแทะอาหารโดยตรง หากต้องการความแข็งแรงที่มากขึ้นควรบูรณะด้วยการครอบฟัน หรือวีเนียร์
- ฟันที่ผุลึกจนถึงโพรงประสาทฟันจะต้องทำการรักษารากฟันก่อนบูรณะด้วยการอุดฟันหรือครอบฟัน ทั้งนี้ บางครั้งฟันที่ผุลึกมากแม้จะไม่ถึงโพรงประสาทฟันแต่ก็อาจมีการติดเชื้อในโพรงประสาทฟันซึ่งต้องทำการรักษารากฟันก่อนเช่นกัน กรณีเช่นนี้ทันตแพทย์อาจแนะนำให้อุดฟันชั่วคราวเพื่อสังเกตอาการก่อน
อุดฟันเจ็บไหม ต้องฉีดยาชาไหม
การอุดฟันอาจรู้สึกเจ็บหรือเสียวฟันได้ขึ้นอยู่กับความลึกของรอยฟันผุ ซึ่งทันตแพทย์จะเป็นผู้ประเมินและแนะนำคนไข้ โดยหากรอยฟันผุอยู่เพียงแค่ตื้นๆในตำแหน่งผิวเคลือบฟัน การอุดฟันจะไม่ทำให้รู้สึกเจ็บจึงไม่จำเป็นต้องฉีดยาชา แต่หากรอยผุลึกถึงเนื้อฟัน ในขณะกรอฟันคนไข้มักจะรู้สึกเสียวฟัน ทันตแพทย์จึงมักจะฉีดยาชาให้ก่อนการอุดฟันเพื่อให้รู้สึกสบายขึ้นในขณะทำการรักษา
วัสดุอุดฟัน
อมัลกัม (Amalgam)
เป็นวัสดุที่มีส่วนผสมของโลหะหลายชนิดประกอบเข้าด้วยกัน ข้อดี คือ มีความทนทานในการใช้งานบดเคี้ยวสูง ขั้นตอนในการอุดฟันไม่ซับซ้อน และราคาวัสดุไม่แพง นิยมใช้ในการอุดฟันกราม เนื่องจากวัสดุอมัลกัมมีสีเทาของโลหะที่มองเห็นได้ชัดเจน
คอมโพสิต (Composite Resin)
เป็นวัสดุอุดฟันที่ทำจากเรซินผสม โดยทันตแพทย์สามารถเทียบเฉดสีของวัสดุคอมโพสิตให้กลมกลืนกับสีฟันตามธรรมชาติในตำแหน่งที่จะอุดได้ ปัจจุบันได้รับการพัฒนาอย่างต่อเนื่องทำให้มีคุณสมบัติทั้งด้านความสวยงามและทนทาน จึงนิยมใช้ทั้งการอุดฟันหน้าและฟันกราม การอุดฟันด้วยวัสดุคอมโพสิตมีขั้นตอนในการอุดฟันที่ซับซ้อนกว่าอุดฟันด้วยอมัลกัม ตัววัสดุอาจสึกหรอลงไปบ้างเมื่อใช้งานเป็นระยะเวลายาวนาน
กลาสไอโอโนเมอร์ (Glass Ionomer)
เป็นวัสดุอุดฟันสีเหมือนฟันที่มีคุณสมบัติสามารถปลดปล่อยสารฟลูออไรด์ออกมาจากตัววัสดุเพื่อช่วยป้องกันฟันผุลุกลามในตำแหน่งเดิมได้ เหมาะสำหรับใช้อุดฟันน้ำนมในเด็ก ตัววัสดุมีความทนทานน้อยกว่าอมัลกัมและคอมโพสิต
ตรวจสอบบทความโดย
ทพญ.ขนิษฐา สุรางค์ศรีรัฐ
