
การจัดฟันดึงฟันเขี้ยวให้ลงมาอยู่ในตำแหน่งที่เหมาะสม โดยทั่วไปแล้วสามารถจัดฟันดึงลงมาได้ตามปกติ

ฟันเขี้ยวฝังที่ทิศทางตรงกับแนวการขึ้นของฟันสามารถจัดฟันดึงเข้าสู่ตำแหน่งที่ถูกต้องได้ แต่หากแนวการขึ้นของฟันกลับทิศไปจากแนวที่ถูกต้อง ก็จะทำให้ยากขึ้น หรือไม่สามารถทำได้
ส่วนการจัดฟันเพื่อดึงฟันคุดขึ้นมาใช้งาน (กรณีคนไข้มีฟันกรามด้านนั้นๆผุมากหรือสูญเสียไป) ถ้าตำแหน่งฟันคุดไม่เอียงมากหรือล้มจนอยู่ในแนวนอน ก็สามารถดึงเข้ามาเพื่อใช้งานได้ กรณีฟันคุดเอียงมากแต่รากฟันยังไม่ยาว บางกรณีทันตแพทย์จัดฟันก็อาจตั้งฟันขึ้น เพื่อเลื่อนไปชิดกันได้
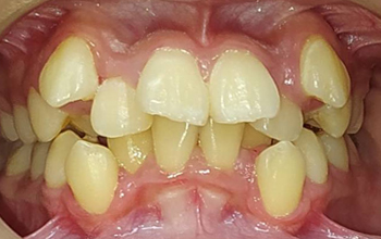
จัดฟันดึงเขี้ยวลงมาได้ไหม? ฟันเขี้ยวฝังเอียง 45 องศา
หนูอายุ 20 ปี มีฟันฝังคือฟันเขี้ยวบนซ้ายฝังอยู่ข้างบนขากรรไกร x-ray ดูเอียง 45 องศา แล้วฟันน้ำนมไม่ยอมหลุด อยากทราบว่าถ้าจัดฟันช่วยดึงฟันเขี้ยวฝังลงมาแทนที่ฟันน้ำนมได้ไหมคะ
โดยปกติก็จะดึงลงมาได้ค่ะ เว้นแต่ฟันอยู่ผิดตำแหน่ง หรือทิศทางการเอียงของฟันกลับทิศกับแนวการขึ้นของฟัน ก็จะทำให้ยากขึ้น หรือไม่สามารถทำได้ ในบางกรณีพบว่าปลายรากของฟันฝังนั้นมีการยึดติดกับกระดูกขากรรไกร (ankylosis) ทำให้ฟันไม่ขึ้นตามปกติ ซึ่งกรณีนี้มักจะดึงไม่ขึ้นแต่ก็พบไม่บ่อยนัก
กรณีทั่วๆไปถ้าทิศทางเหมาะสม สามารถดึงขึ้นมาได้ด้วยการจัดฟันค่ะ
จัดฟันดึงฟันคุดขึ้นมาแทนฟันกรามได้ไหม?
หนูไปถอนฟันกรามด้านล่างข้างขวาซี่ที่ 2 เนื่องจากฟันผุลึกถึงโพรงประสาท หมอบอกว่าฟันคุดที่ยังไม่โผล่พ้นเหงือกอาจเลื่อนขึ้นมาแทน แต่อาจไม่ชิดติดกับฟันกรามซี่ที่ 1 หนูจึงมีโครงการจะจัดฟันปลายปี เพื่อรอฟันคุดขึ้นมาแล้วจะได้จัดฟันเพื่อช่วยดึงจะได้ไหมคะ? ระหว่างที่รอฟันจะล้มไหม?
ถ้าตำแหน่งฟันคุดไม่ล้มจนอยู่ในแนวนอน ก็สามารถดึงเข้ามาแทนที่ฟันกรามซี่ที่ 2 ได้ค่ะ หรือถ้าฟันคุดเอียงมากแต่รากฟันยังไม่ยาวมาก ก็อาจจะตั้งฟันได้ แล้วเลื่อนไปชิดกันค่ะ
ส่วนการถอนไปนานๆแล้วยังไม่ได้จัดฟัน ก็มีโอกาสที่ฟันข้างเคียงจะเคลื่อนล้มมาที่ช่องว่าง แต่กรณีถอนฟันกรามซี่ที่ 2 นั้น การเคลื่อนของฟันมักจะเป็นลักษณะฟันซี่สุดท้ายเลื่อนเข้ามามากกว่าฟันกรามซี่ที่ 1 เคลื่อนถอยหลัง แต่ปัญหาคือ ถ้าฟันคุดอยู่ในลักษณะเอียง ก็จะเคลื่อนเข้ามาแบบเอียงๆ หรืออาจล้มมากขึ้น และฟันกรามบนซึ่งเป็นคู่สบของฟันซี่ที่ถูกถอนจะยื่นยาวลงมาได้
โดยสรุป ถ้ามีโครงการจะจัดฟันอยู่แล้ว ควรไปปรึกษาทันตแพทย์จัดฟันไว้ก่อน เพื่อวางแผนการรักษาที่เหมาะสม เช่น ถ้าต้องการจัดฟันเพื่อแก้ไขปัญหาฟันซ้อนเก มักจะต้องถอนฟันบางซี่ออกเพื่อให้ได้ช่องว่างสำหรับแก้ฟันซ้อน กรณีเช่นนี้ด้านที่ถูกถอนฟันกรามซี่ที่ 2 ไปแล้ว ด้านนั้นอาจไม่ต้องถอนฟันเพิ่มค่ะ
ฟันเขี้ยวด้านบนเป็นฟันน้ำนมไม่ยอมหลุด
ตอนนี้อายุ 21 ปีแล้ว แต่ฟันน้ำนม (ฟันเขี้ยวบน) ยังไม่หลุดเลยทำให้ฟันแท้ฝังอยู่ในเหงือก ต้องการจะจัดฟัน จะต้องทำยังไงคะ ขอคำปรึกษาหน่อยคะ
ควรไป x-ray ตรวจดูค่ะ ว่าฟันที่ฝังอยู่ในเหงือกนั้นอยู่ในตำแหน่งและทิศทางที่สามารถดึงขึ้นมาได้หรือไม่ สำหรับคนไข้อายุ 21 ปี น่าจะสามารถดึงฟันขึ้นมาได้เว้นแต่ซี่ฟันอยู่ในแนวนอนหรือกลับหัว หรืออยู่ผิดตำแหน่ง จึงจะไม่สามารถดึงได้ค่ะ
ฟันล่างไม่ขึ้นทำไงดี?
หนูอายุ 23 ปีแล้ว แต่ฟันซี่ 3-4 ด้านล่างหนูไม่ขึ้น แล้วแถมยังห่างกันอีก หนูจะจัดฟันได้ไหมคะ หนูต้องทำยังไงบ้างคะ
ฟันที่ไม่ขึ้นนั้นอาจจะฝังอยู่ในกระดูกขากรรไกรหรือไม่มีหน่อฟันมาตั้งแต่กำเนิด ควรจะเอกซ์เรย์ตรวจดูค่ะ หากมีฟันฝังอยู่ในตำแหน่งและทิศทางที่เหมาะสม อาจจะใช้เครื่องมือจัดฟันค่อยๆช่วยดึงขึ้นมาอยู่ตำแหน่งที่ถูกต้องได้ค่ะ เริ่มต้นด้วยการไปพบทันตแพทย์จัดฟันเพื่อตรวจ/พิมพ์ปาก/เอกซ์เรย์ และพูดคุยทำความเข้าใจเรื่องแผนการจัดฟันค่ะ
จากการให้คำปรึกษาแบบสาธารณะ
ตอบคำถามโดย ทพญ.ขนิษฐา สุรางค์ศรีรัฐ
