
ภาพแสดงช่องว่างจากการถอนฟันกรามและฟันข้างเคียงเริ่มล้มเอียง
ฟันกราม (molar) มีจำนวนด้านละ 3 ซี่ รวมทั้งหมด 12 ซี่ โดยฟันกรามซี่ที่ 3 (ซึ่ในสุด) บ่อยครั้งเป็นฟันคุดที่ต้องถอนออก ฟันกรามซี่ที่ 1, 2 จึงเป็นฟันตำแหน่งที่ใช้งานด้านการบดเคี้ยวมากที่สุด ก่อนการตัดสินใจถอนฟันกรามที่ผุเป็นรูใหญ่เกินกว่าจะบูรณะได้ หรือด้วยสาเหตุอื่นใด มีสิ่งที่ควรพิจารณา ดังนี้

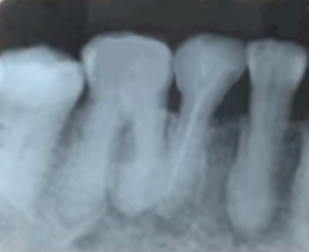
ภาพแสดงฟันกราม (molar) ซึ่งเป็นฟันตำแหน่งที่ใช้ในการบดเคี้ยวมากที่สุด
ถอนฟันกรามฟันจะล้มไหม ต้องใส่ฟันปลอมไหม

ภาพแสดงฟันล้มเข้าหาช่องว่างจากการสูญเสียฟันกรามและเกิดช่องห่างในฟันซี่ข้างเคียง

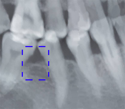
ภาพแสดงฟันล้มเอียงเนื่องจากการสูญเสียฟันกรามไปนาน
เมื่อสูญเสียฟันซี่ใดซี่หนึ่ง จะเป็นฟันกรามใหญ่ ฟันกรามน้อย หรือฟันหน้าก็ตาม ฟันที่อยู่ด้านข้างจะล้มเอียงเข้าหาช่องว่าง ทำให้เกิดฟันห่างในตำแหน่งใกล้เคียง ในขณะที่ฟันคู่สบด้านบนอาจยื่นยาวเข้าหาช่องว่าง ทำให้การสบฟันเปลี่ยนแปลงไป มีจุดสะดุดขณะบดเคี้ยวอาหาร และในระยะยาวฟันที่ล้มเอียงมักจะทำความสะอาดยาก ทำให้มีปัญหาฟันผุและโรคเหงือกอักเสบตามมาได้
ภาพแสดงฟันปลอมแบบถอดได้ในฟันกรามชนิดตะขอโลหะและตะขอยืดหยุ่น
หากสูญเสียฟันกรามจึงควรใส่ฟันปลอมทดแทนเพื่อใช้งานบดเคี้ยวและป้องกันปัญหาดังกล่าว ยกเว้นฟันกรามที่ถูกถอนเป็นฟันคุด (ฟันกรามซี่ที่สาม) หรือฟันกรามซี่ที่สองซึ่งอยู่ด้านในสุด หากทันตแพทย์ประเมินว่าไม่ทำให้เกิดปัญหา อาจไม่ต้องใส่ฟันปลอมก็ได้
ถอนฟันกรามเจ็บไหม
การถอนฟันกรามก็เหมือนกับการถอนฟันซี่อื่นๆ ทันตแพทย์จะใช้ยาชาเพื่อระงับความเจ็บปวด ดังนั้น ในระหว่างการถอนฟันจะไม่รู้สึกเจ็บ อาจรู้สึกหน่วงๆบ้างเล็กน้อย ยกเว้นในกรณีฟันที่กำลังมีการอักเสบอยู่ ทำให้ยาชาออกฤทธิ์ไม่สมบูรณ์นัก คนไข้อาจรู้สึกเจ็บบ้างแต่จะไม่มากนัก โดยปกติการถอนฟันใช้เวลาเพียงไม่กี่นาทีก็เสร็จเรียบร้อย
กี่วันหายปวด ต้องกินยาไหม
ปกติจะไม่มีอาการปวดหลังจากถอนฟันกราม เว้นแต่เป็นการถอนฟันที่มีปัญหาบางอย่าง เช่น รากฟันโค้งงอ รากฟันเป็นตุ้ม หรือมีรากฟันเกินขนาดเล็ก ทำให้การถอนฟันยากขึ้นและมีโอกาสรากฟันหัก หลังการถอนจึงอาจมีอาการปวดบ้างประมาณ 1-3 วัน การทานยาแก้ปวด แก้อักเสบ ที่ทันตแพทย์จ่ายให้ก็จะสามารถช่วยบรรเทาอาการได้

ภาพแสดงรากฟันเป็นตุ้มซึ่งเกิดในผู้สูงอายุที่มีแคลเซียมสะสมบริเวณปลายรากฟันซึ่งทำให้ถอนยากกว่าปกติเล็กน้อย
ถอนฟันกรามผุ 2 ซี่ติดกัน จะเป็นอะไรไหม?
ในผู้ที่มีสุขภาพแข็งแรงปกติ สามารถถอนฟันพร้อมกันครั้งละ 2 ซี่ หรือหลายซี่ได้ตามความจำเป็นโดยไม่มีอันตราย กรณีถอนฟันติดกันหลายซี่ ทันตแพทย์จะเย็บแผลเพื่อป้องกันไม่ให้เลือดออกมากและช่วยให้แผลถอนฟันหายเร็ว แต่การสูญเสียฟันกรามจะมีผลต่อประสิทธิภาพในการบดเคี้ยวอาหารที่ลดลง และปัญหาฟันข้างเคียงล้มเอียง
ถอนฟันกรามจัดฟันได้ไหม
สามารถจัดฟันได้ โดยบางกรณีทันตแพทย์จัดฟันสามารถจะเลื่อนฟันมาปิดช่องว่างที่เกิดจากการถอนฟันได้ แต่ในกรณีที่สูญเสียฟันกรามเป็นเวลานานจะทำให้สันเหงือกแฟบและฟันข้างเคียงล้มเอียง ไม่เหมาะกับการเคลื่อนฟันเข้าไปปิดช่องว่างเพราะไม่มีฐานกระดูกรองรับ การจัดฟันจะเป็นการปรับช่องว่างจากการถอนฟันกรามให้เหมาะกับการใส่ฟันปลอมทดแทน
ถอนฟันกรามราคา
| ถอนฟันกราม | 800-900 |
| ถอนฟันกราม กรณียาก | 1,000-2,000 |
| ถอนฟันกรามซี่สุดท้ายที่ขึ้นได้เต็มซี่ | 1,000-2,000 |
